본문 바로가기
Dim영역
이전
2024.08.29
다음
1
인구 절반이 굶주린 이 나라…결국 코끼리 잡아 먹기로

인구 절반이 굶주린 이 나라…결국 코끼리 잡아 먹기로

가뭄으로 극심한 식량난에 시달리는 나미비아 정부가 '코끼리' 등 야생동물을 도축해 주민들에게 나눠주기로 했다. 미 CNN 방송 등 외신 보도를 종합하면 나미비아 환경부는 지난 26일(현지시간) 성명을 내고 야생동물 도축 방침을 발표했다. 환경부가 잡기로 한 야생동물은 코끼리 83마리, 하마 30마리, 버펄로 60마리, 임팔라 50마리, 누우 100마리, 얼룩말 300마리, 엘란드 100마리 등 총 723마리다. 환경부가 야생동물을 '도태

2
결혼하러 지방가는 女에 '550만원 지원금' 논란…"남녀차별" 日 비판 쇄도

결혼하러 지방가는 女에 '550만원 지원금' 논란…"남녀차별" 日 비판 쇄도

일본에서 도쿄에 사는 미혼 여성이 결혼을 위해 지방으로 이주할 경우 지원금을 주는 제도를 검토 중이라는 보도가 나왔다. 이같은 정부의 발상에 대해 일본 국민들은 "여성을 무엇이라고 생각하는 것이냐"며 싸늘한 반응을 보이는 것으로 전해졌다. 연합뉴스는 29일 아사히신문을 인용해 일본 정부가 미혼 여성의 결혼을 통한 지방 이주에 초점을 맞춘 제도의 도입을 검토하고 있다고 보도했다. 이 제도는 도쿄에 사는 미혼 여성

3
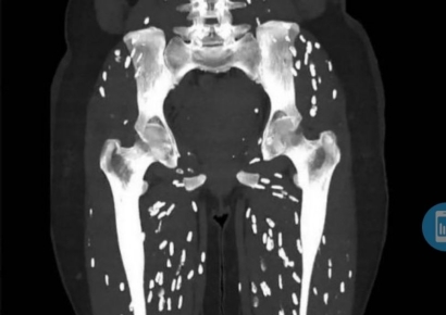
"가장 끔찍한 CT영상"…다리에 '쌀알 모양 기생충' 득실 왜?

"가장 끔찍한 CT영상"…다리에 '쌀알 모양 기생충' 득실 왜?

미국의 한 대학병원 응급실 의사가 덜 익은 돼지고기를 먹고 기생충에 감염된 환자의 컴퓨터 단층촬영(CT) 사진을 공개하며 주의를 당부했다. 28일(현지시간) 데일리메일에 따르면 미국 플로리다 대학교 의대 병원 응급실 의사인 샘 갈리 박사는 지난 25일 사회관계망서비스(SNS) X(옛 트위터)에 기생충에 감염된 환자의 다리 CT 사진을 올렸다. 갈리 박사는 이 사진에 "내가 본 것 중 가장 끔찍한 CT 영상"이라는 설명을 달았다.

4
'초강력 태풍' 산산, 일본 상륙…"규슈 남부에 1천㎜ 폭우 우려"

'초강력 태풍' 산산, 일본 상륙…"규슈 남부에 1천㎜ 폭우 우려"

역대 가장 강력한 태풍이 될 것으로 예측되는 제10호 태풍 '산산'이 29일 오전 일본 규슈에 상륙했다. 일본 열도를 따라 느린 속도로 이동하며 규슈 남부에는 1000㎜를 넘는 기록적 폭우가 쏟아질 것으로 전망된다. 현재 225만여명에게 피난지시가 내려진 상태다. 일본 기상청에 따르면 태풍 산산은 이날 오전 8시께 규슈 가고시마현 사쓰마센다이시에 상륙, 시속 15km 속도로 북동 방향으로 진전하고 있다. 태풍 중심기압은 955h

5
"열심히 일해도 내집은 없다" 포기 속출…무너진 '아메리칸 드림'

"열심히 일해도 내집은 없다" 포기 속출…무너진 '아메리칸 드림'

미국에서 인종과 계급을 뛰어넘어 열심히 일하면 성공한다는 '아메리칸 드림'을 믿는 미국인이 급격하게 줄었다고 월스트리트저널(WSJ)이 28일(현지시간) 보도했다. WSJ는 시카고대 여론연구센터(NORC)와 함께 지난 6월 26일부터 7월 8일까지 미국 성인 1502명을 대상으로 설문 조사한 결과를 이날 공개했다. 조사에서 '열심히 일하면 성공한다는 아메리칸 드림이 유효하냐'라는 질문에 '여전히 유효하다'고 답한 비율은 34%로 조

6
2500만원 일등석 450만원에 판 호주 항공사 "실수인정, 비즈니스석 타라"

2500만원 일등석 450만원에 판 호주 항공사 "실수인정, 비즈니스석 타라"

호주 국영 항공사인 콴타스가 2500만원이 넘는 일등석을 실수로 약 85% 할인된 450만원에 판매했다가 결국 취소하는 일이 발생했다. 27일(현지시간) CNN은 "지난 22일 콴타스 항공 홈페이지에 호주에서 미국으로 향하는 일등석 항공권이 3400달러(약 454만원)에 올라왔다"고 보도했다. 해당 항공권의 기존 가격은 1만 9000달러(약 2537만원)로, 약 85% 저렴한 가격에 판매된 것이다. 이 가격은 금세 수습되지 못하고 약 8시간 동안

7
슬리퍼로 장난치다 9시간 동안 승강기에 갇힌 아이들

슬리퍼로 장난치다 9시간 동안 승강기에 갇힌 아이들

말레이시아의 한 아파트에서 어린아이 두 명이 슬리퍼로 장난을 치다 엘리베이터에 10시간 가까이 갇히는 일이 발생했다. 25일(현지시각) 신츄일보, 말레이시아키니 등 외신에 따르면 지난 19일 말레이시아 수도 쿠알라룸푸르 한 아파트에서 아이 두 명이 엘리베이터에 9시간 넘게 갇히는 사고가 일어났다. 닫히는 승강기에 슬리퍼를 집어넣은 장난이 엘리베이터 고장의 원인인 것으로 드러났다. 공개된 영상을 보면 한 아이가 신고

8
엔비디아, 2분기 실적 예상 상회…500억달러 자사주 매입(상보)

엔비디아, 2분기 실적 예상 상회…500억달러 자사주 매입(상보)

엔비디아가 데이터센터 칩 수요 급증에 힘입어 올해 2분기 시장 예상을 넘어서는 실적과 함께 500억달러(약 67조원) 규모의 자사주 매입 계획을 내놨다. 최신 인공지능(AI) 칩인 '블랙웰'은 예정대로 4분기에 출시키로 했다. 하지만 월가 전망을 웃도는 실적과 3분기 가이던스(전망)에도 엔비디아 주가는 시간 외 거래에서 4% 넘게 하락하고 있다. 28일(현지시간) 엔비디아는 장 마감 후 발표한 2025 회계연도 2분기(5~7월) 실적

9
엔비디아 '블랙웰' 4분기 수십억달러 매출 기대에도 시외 6%↓(종합)

엔비디아 '블랙웰' 4분기 수십억달러 매출 기대에도 시외 6%↓(종합)

젠슨 황 엔비디아 최고경영자(CEO)가 인공지능(AI) 칩 공급이 분기마다 개선될 것이라고 전망했지만 차세대 AI 칩 '블랙웰' 생산 결함을 인정했다. 블랙웰이 2025 회계연도 4분기 수십억 달러 매출을 낼 것이란 기대 외 구체적 전망을 제시하지 못해 호실적에도 불구하고 주가가 시간 외 거래에서 6% 이상 하락했다. 28일 오후 8시(현지시간) 뉴욕 증시 시간 외 거래에서 엔비디아는 전일 대비 6.92% 하락한 116.92달러에 거래되고

10
'젊고 예쁜' 여성은 트럼프 지지?…"사진 도용 가짜 X 판친다"

'젊고 예쁜' 여성은 트럼프 지지?…"사진 도용 가짜 X 판친다"

미국 대선이 두 달여 앞으로 다가온 가운데 유럽의 젊은 여성 인플루언서들의 사진을 도용해 도널드 트럼프 전 대통령을 지지하는 가짜 엑스(X·옛 트위터) 계정이 활개를 치고 있다고 CNN 방송이 28일(현지시간) 보도했다. 보도에 따르면 위스콘신 출신의 32세 여성 루나는 올해 3월 엑스에 가입해 '마가(MAGA·미국을 다시 위대하게)'를 부르짖으며 트럼프 전 대통령의 열렬한 지지자로 활동했다. 그는 트럼프 전 대통령이 추가적

top버튼