리모컨을 가지고 놀던 4살 영국 소년이 동전형 건전지를 삼켜 병원으로 이송됐다. 아이는 수술을 통해 식도에 낀 건전지를 제거해 중환자실에 입원해 치료받고 있다.


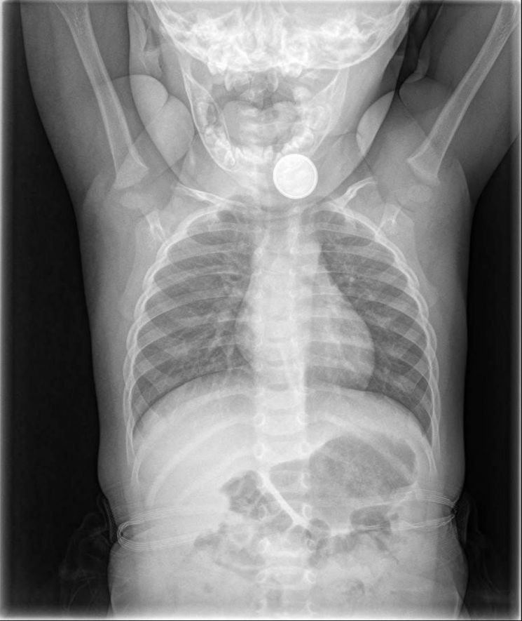
소년의 식도에서 나온 동전형 건전지(왼쪽) [사진출처= 리버풀에코]

소년의 식도에서 나온 동전형 건전지(왼쪽) [사진출처= 리버풀에코]

AD
원본보기 아이콘

단추 모양으로 생긴 건전지는 크기가 작고 동그랗다 보니 이와 비례해 어린이들이 쉽게 입에 넣어 삼키는 사고가 빈번하다.

2일 영국 더 미러, 리버풀에코 등은 지난달 말 맨섬에서 한 4세 소년이 건전지를 삼킨 뒤 병원으로 옮겨졌다고 보도했다.


당시 친척 집에 머물고 있던 소년은 리모컨을 가지고 놀다가 실수로 동전만 한 건전지를 삼킨 것으로 전해졌다.

아이가 건전지를 삼킨 걸 알게 된 가족들은 곧바로 병원을 찾았고, X-레이 검사 결과 식도에 건전지가 낀 것이 확인됐다.


소년은 수술을 받기 위해 리버풀 지역에 위치한 어린이 전문병원으로 이송됐다.


매체에 따르면 소년의 아버지는 “건전지가 걸린 부위는 주변에 많은 혈관이 있고 심장과도 멀지 않았다”며 “수술 결과가 어떻게 될지 몰랐고, 무서웠다”고 말했다.


결국 소년은 병원에 도착한 지 30여분 만에 식도에 낀 건전지를 빼내는 수술을 받았다.


매체는 의료진의 말을 빌려 수술은 성공적으로 끝났다며 소년은 장기 손상과 건전지에서 누출된 알카라인으로 인해 최소 3주간 입원 치료를 받아야 한다고 보도했다.


소년의 아버지는 “수술 후 의사로부터 건전지가 체내에 남아 있으면 치명적일 수 있다는 설명을 들었다”며 “아들은 아직 병원에서 건강을 회복하고 있다”고 말했다.


그는 다른 부모들에게 “리모컨이나 장난감에 건전지가 잘 고정됐는지 확인하고, 어린이의 손이 닿지 않는 곳에 보관할 필요가 있다”며 “자녀가 건전지를 삼켰다면 최대한 빨리 응급실을 찾아야 한다”고 조언했다.


실제로 건전지 삼킴 사고는 국내에서도 빈번하게 발생한다.


한국소비자원이 '소비자위해감시스템 CISS'에 등록된 삼킴 사고를 지난 2021년 집계한 결과, 2017년 1월부터 2021년 7월까지 4년 7개월 동안 모두 254건의 단추형 전지 삼킴 사고가 발생했다.


12개월 남자아이가 체온계 속 2cm 크기의 리튬 전지를 삼킨 사례 [사진출처=한국소비자원 제공]

12개월 남자아이가 체온계 속 2cm 크기의 리튬 전지를 삼킨 사례 [사진출처=한국소비자원 제공]

원본보기 아이콘

이 가운데 86%가 0~3세 영·유아에게 일어나고 있었다. 사고 사례를 살펴보면, 부모가 서랍에 보관해둔 전지를 꺼내서 놀다가 삼킨 경우와 전자제품을 직접 분해해서 안에 들어 있는 전지를 꺼내 삼킨 경우 등이 있었다.


또 아이가 계속 구토해 찾아간 병원에서 엑스레이를 촬영한 뒤에야 전지를 삼킨 것을 발견한 사례도 있었다.


당시 소비자원은 "단추형 전지를 구입할 경우 어린이 보호 포장이 적용된 제품을 구입하고, 다 쓴 전지는 서랍 등에 보관하지 말고 즉시 폐기해달라"고 당부했다.

AD

또 "나사로 전지 넣는 곳을 한 번 더 조이는 등의 안전 설계가 돼 있지 않은 장난감 등에는 테이프를 붙여 전지가 쉽게 빠지지 않도록 해달라"고 전했다.


김은하 기자 galaxy656574@asiae.co.kr

<ⓒ투자가를 위한 경제콘텐츠 플랫폼, 아시아경제(www.asiae.co.kr) 무단전재 배포금지>

함께 보면 좋은 기사

새로보기

내 안의 인사이트 깨우기

취향저격 맞춤뉴스

많이 본 뉴스

당신을 위한 추천 콘텐츠